در این نوشته می خوانید:
- 1 منظور از استراحت دندان ها چیست و دندان ها قرار است چگونه قرار بگیرند؟
- 2 وضعیت طبیعی استراحت دندان ها چیست؟
- 3 ویژگی های بایت ایده آل
- 4 چرا استراحت دندان ها مهم است؟
- 5 چه عواملی باعث نامرتبی دندان ها می شوند؟
- 6 درمان ارتودنسی برای اصلاح بایت
- 7 آیا باید در مورد بایت خود به دندانپزشک مراجعه کنید؟
- 8 اگر دندان هایتان نتوانند استراحت کنند چه می کنید؟
- 9 استراحت مناسب برای لبخندی سالم تر
- 10 نتیجه گیری
وقتی دهانتان بسته است، دندان هایتان قرار است چگونه قرار بگیرند؟ شاید این یک نکته کوچک به نظر برسد، اما نحوه قرارگیری دندان هایتان بر همه چیز، از راحتی فک گرفته تا سلامت طولانی مدت دندان ها، تأثیر می گذارد. بسیاری از مردم نمی دانند که فشار فک، سردرد و حتی ساییدگی مینای دندان ممکن است ناشی از ناهماهنگی بایت باشد. هر زمان که به طور فعال از دهان خود برای صحبت کردن یا صحبت کردن استفاده نمی کنیم، باید در حالت استراحت باشد. این همچنین به این معنی است که دندان ها نیز باید استراحت کنند. اما در واقعیت چگونه دندان ها باید استراحت کنند؟
در این راهنما، توضیح خواهیم داد که دندان هایتان هنگام بسته بودن دهان چگونه باید قرار بگیرند، بایت طبیعی چگونه به نظر می رسد و اگر ناهماهنگی دارید، چه زمانی باید به پزشک مراجعه کنید.
منظور از استراحت دندان ها چیست و دندان ها قرار است چگونه قرار بگیرند؟
دندان های شما بخشی از دهان شما هستند، به این معنی که وقتی دهان شما در حال استراحت و غیرفعال است، دندان های شما نیز باید استراحت کنند. در یک دهان سالم، دندان های فک بالای شما باید هنگام بسته بودن فک ها کمی روی دندان های فک پایین قرار بگیرند. حالت استراحت استاندارد این است که دندان ها با یکدیگر تماس نداشته باشند. وقتی دهان بسته است دندان ها کمی از هم فاصله دارند. آنها چیزی را نمی جوند، آنها را به هم نمی فشارند یا برای صحبت کردن استفاده نمی کنند. این همترازی ایده آل به دندان های شما اجازه می دهد تا به طور یکنواخت روی هم قرار گیرند و در حین جویدن، صحبت کردن و استراحت به درستی عمل کنند.
ایجاد امکان استراحت دندان ها به شیوه ای مناسب برای سلامت دهان و دندان شما از چندین جهت مهم است. استراحت دادن به دندان ها به این معنی است که آنها خوابیده اند و همچنین به این معنی است که آنها با هیچ چیز دیگری مانند غذا، زبان شما یا یکدیگر تعامل ندارند.
ناهماهنگی می تواند منجر به موارد زیر شود:
- فشار ناهموار بر روی برخی دندان ها
- فشار یا کشش فک
- ساییدگی مینای دندان
- خطر بیشتر اختلال مفصل فکی گیجگاهی (TMJ)
- افزایش احتمال آسیب دندان یا مشکلات لثه
بایت طبیعی فقط جنبه زیبایی ندارد – بلکه نقش مهمی در سلامت و راحتی کلی دهان و دندان ایفا می کند.
اگر مشکلات تراز دندان ها باعث ناراحتی شما می شود، دندانپزشکی زیبایی می تواند راه حل های کاربردی و زیبایی ارائه دهد.
وضعیت طبیعی استراحت دندان ها چیست؟
بسیاری از بیماران می پرسند: آیا دندان ها باید هنگام بسته بودن دهان با هم تماس داشته باشند؟ پاسخ این سوال ظریف است.
در اینجا به موارد طبیعی اشاره می کنیم:
لب ها کنار هم
لب ها باید بدون هیچ تلاشی بسته باشند، نه اینکه به زور روی هم قرار گیرند. ماهیچه ها باید آرام باشند، نه اینکه با تلاش به هم فشار بیاورند.
زبان پشت دندان ها
زبان باید به آرامی روی سقف دهان و پشت دندان های جلوی فک بالا قرار گیرد و همچنین سقف دهان خود را در حالت استراحت استاندارد لمس کند.
دندان ها از هم جدا باشند
دندان ها باید کمی از هم فاصله داشته باشند و دندان های عقب ممکن است به آرامی با هم تماس داشته باشند، اما دندان های جلویی نباید در حالت استراحت فشرده شوند. عضلات فک باید شل باشند – نه منقبض یا کشیده.
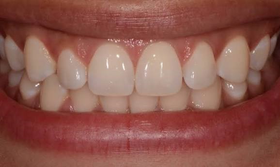
ویژگی های بایت ایده آل

ویژگی های بایت ایده آل
اصطلاح “بایت” به نحوه تماس دندان های دو فک بالا و پایین هنگام بسته بودن دهان اشاره دارد. یک بایت طبیعی شامل موارد زیر است:
- همپوشانی جزئی دندان های جلوی فک بالا روی دندان های جلوی فک پایین
- تماس یکنواخت بین دندان های مولر دو فک بالا و پایین
- فک بالا به درستی با فک پایین هم تراز می شود
- توزیع متعادل نیروی بایت
وقتی هم ترازی صحیح باشد، امکان جویدن کارآمد را فراهم می کند و خطر عوارض فک یا دندان را به حداقل می رساند. برعکس، دیپ بایت (که در آن دندان های فک بالا بیش از حد دندان های فک پایین را می پوشانند) یا اپن بایت (زمانی که دندان های جلو اصلاً به هم نمی رسند) می توانند مشکلات طولانی مدت ایجاد کنند.
چرا استراحت دندان ها مهم است؟
ایجاد امکان استراحت دندان ها به شیوه ای مناسب برای سلامت دهان و دندان از چندین جهت مهم است.
به عنوان مثال، اگر نتوانید به دندان های خود اجازه دهید به شیوه ای مناسب استراحت کنند، دهان به طور خودکار بسته نمی شود زیرا عضله به روش معمول عمل نمی کند. این می تواند باعث تنفس از طریق دهان شود که می تواند منجر به بیماری لثه شود.
مثال دیگر این است که اگر زبان به طور خودکار پشت دندان های فک بالا قرار نگیرد و باعث شود که زبان به سمت جلو بر روی دندان ها فشار بیاورد، این فشار رو به جلو می تواند منجر به نامرتبی دندان ها شود.
اگر دندان های شما هنگام استراحت دائماً با هم تماس دارند یا به هم فشرده می شوند، این ممکن است نشان دهنده براکسیسم (دندان قروچه) باشد که می تواند مینای دندان را از بین ببرد و فک را تحت فشار قرار دهد.
چه عواملی باعث نامرتبی دندان ها می شوند؟
درک علل نامرتبی دندان ها می تواند در انجام اقدامات اولیه به شما کمک کند. برخی از عوامل شایع عبارتند از:
- ژنتیک: ساختار ارثی فک یا دندان
- مکیدن انگشت شست یا استفاده طولانی مدت از پستانک
- از دست دادن دندان بدون تعویض به موقع
- آسیب یا ضربه به صورت یا فک
- دندان قروچه (براکسیسم)
- بیماری لثه و سایر مشکلات بهداشت دهان و دندان
با گذشت زمان، این عوامل می توانند بر نحوه قرارگیری دندان های شما و اینکه آیا بایت شما متعادل باقی می ماند یا خیر، تأثیر بگذارند. نامرتبی دندان ها همچنین ممکن است در بروز علائمی مانند درد فک، سردرد و اختلالات مفصل فکی گیجگاهی (TMJ) نقش داشته باشد.
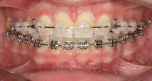
درمان ارتودنسی برای اصلاح بایت

درمان ارتودنسی برای اصلاح بایت
اگر به دنبال راهی برای دستیابی به بایت طبیعی هستید، ارتودنسی مدرن چندین راه حل مؤثر ارائه می دهد. بهترین درمان به نوع و شدت ناهماهنگی دندان های شما بستگی دارد.
گزینه های رایج عبارتند از:
- بریس های سنتی: ایده آل برای مشکلات پیچیده ناهماهنگی دندان ها، با اعمال فشار مداوم، دندان ها را به تدریج جابجا می کنند.
- الاینرهای شفاف: یک جایگزین نامحسوس و قابل جابجایی برای بسیاری از موارد خفیف تا متوسط.
- وسیع کننده های کام: اغلب در کودکان یا نوجوانان برای پهن تر کردن فک بالا و ایجاد فضا برای هم ترازی مناسب استفاده می شوند.
- نگهدارنده ها: ابزارهای پس از درمان که به حفظ موقعیت جدید دندان های شما کمک می کنند.
مراقبت های ارتودنسی نه تنها ظاهر را بهبود می بخشند، بلکه باعث افزایش کارایی جویدن، گفتار و سلامت دهان و دندان در درازمدت نیز می شوند.
آیا باید در مورد بایت خود به دندانپزشک مراجعه کنید؟
اگر موارد زیر را تجربه کردید، باید ارزیابی حرفه ای را در نظر بگیرید:
- درد مکرر فک یا صورت
- سر درد، بخصوص در صبح
- صدای کلیک یا تق تق در فک
- مشکل در جویدن یکنواخت
- دندان هایی که به وضوح ساییده شده اند
- احساس اینکه دندان هایتان هرگز به درستی “روی هم قرار نمی گیرند”
اینها ممکن است نشانه هایی از عدم قرارگیری صحیح دندان های شما در موقعیت سالم باشند.
اگر دندان هایتان نتوانند استراحت کنند چه می کنید؟
اگر مشکوک هستید که مشکلی در دندان ها یا فک شما باعث می شود که دندان های شما در موقعیت طبیعی قرار نگیرند، نخستین گام این است که با یک متخصص ارتودنسی صحبت کنید. متخصص ارتودنسی می تواند دندان های شما را ارزیابی کند و دقیقاً علت مشکل را بفهمد و سپس برنامه ای برای رفع آن تنظیم کند.
استراحت مناسب برای لبخندی سالم تر
بنابراین، وقتی دهان شما بسته است، دندان های شما چگونه باید استراحت کنند؟ در حالت ایده آل، بایت شما باید شل باشد، فک شما باید احساس راحتی داشته باشد و دندان های فک بالای شما باید کمی روی دندان های فک پایین قرار بگیرند. اگر متوجه شدید که دندان های شما همیشه در تماس با هم، در حال به هم فشرده شدن یا ناهم ترازی هستند، علائم را نادیده نگیرید. هم ترازی مناسب نه تنها از عملکرد دهانی شما، بلکه از کیفیت زندگی شما نیز پشتیبانی می کند – و دندانپزشکی مدرن تقریباً برای هر موردی راه حل هایی ارائه می دهد.
نتیجه گیری
اگر دندان های شما نمی توانند به یک وضعیت استراحت طبیعی دست یابند، زیرا به خوبی تراز نیستند، احتمالاً مشکلات دائمی بهداشت دهان و دندان و همچنین انواع دیگر مسائل سلامتی را تجربه خواهید کرد که می توانند به مرور زمان به یک مشکل بزرگ تر تبدیل شوند. یک قرار ملاقات با یک متخصص ارتودنسی رزرو کنید تا متوجه شوید دقیقاً چه اتفاقی در حال رخ دادن است و چگونه مشکل را اصلاح کنید.
ثبت ديدگاه